HOME»事業内容
特定非営利活動法人 日本病理精度保証機構は、病理に係る業務の精度管理・評価を行い、医師・検査技師、病理検査室・衛生検査所や一般住民・患者団体に対して教育研修・評価認定事業、啓発事業を全国規模で行うと共に、本邦内外における精度の高い病理診断の普及に寄与することを目的としています。
これらの目的を達成するため、特定非営利活動に係る事業として、以下を行います
- 病理に係る業務の外部精度評価事業
- 病理に係る業務の内部精度管理支援事業
- 医師・技師に対する教育研修・評価認定事業
- 病理精度管理に対する普及・啓発活動などの事業
- その他目的を達成するために必要な事業
具体的には、
- 精度管理に関する啓発活動を行う。
- 学会が作成したガイドライン、指針に基づき、外部精度評価(HE染色、特殊染色、免疫組織化学検索、体細胞遺伝子検査)活動を行う。
- 国内外の関連学会および組織と協力体制を構築する
- 一人病理医のための内部精度管理支援(セミナー開催など)を行う。
事業等へのQ&A
- Q1日本病理精度保証機構とはどのような組織ですか?
- A1
- 日本病理学会と日本臨床衛生検査技師会が正式に設立した特定非営利活動法人です。
- 構成メンバーはこちら
- Q2なぜ、病理の内部精度管理、外部精度評価が必要なのでしょうか?
- A2
- 病理診断は、治療開始ならびに治療法適応の決定のための重要な担い手となっています。
- 病理診断の質を保証するために、継続的に内部精度管理を行い、外部精度評価を受ける必要があります。
- Q3内部精度管理、外部精度評価とはどのようなことですか?
- A3
- 内部精度管理:各施設の病理検査室内で、pre-analytical( 固定、薄切)、analytical( 染色)、post-analytical(報告)過程を適正に管理することです。
- 外部精度評価:病理診断に関連する標本作製、染色、判定、診断の施設間差を調査し評価することです。
- Q4外部精度評価はどのようにおこなわれるのですか?
- A4
- 免疫染色の染色サーベイの場合には、申し込まれた施設の担当者に、機構事務局から未染色標本が送付されます。それを各施設で染色し、染色標本と判定結果を返送していただきます。
- 日本病理学会精度管理委員会および日本臨床衛生検査技師会員で構成される機構の評価委員会で評価します。
- フォトサーベイの場合には、web上に提示するフォトあるいはバーチャルスライドについて、染色性評価や組織診断に関する問題を出題します。これらの問題に回答していただき、本機構で評価します。
- Q5施設により、免疫染色の染色性が異なることがあるのですか?
- A5
- 各施設によって、新鮮材料採取法、ホルマリン固定を含めた病理標本作製方法や、染色標本の判定基準が異なることがあります。
- このような条件の違いが、染色性や判定結果の違いとして、現われることがあります。
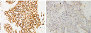
- 右に同一検体について同じバイオマーカー(HER2)を染色した時の、施設による染色性の差異を示します(左図:適正、右図:不適正)。
- Q6どうすれば外部精度評価を受けられますか?
- A6
- 本ホームページ上で、参加募集の案内を行います(http://www.jpqas.jp/katsudo/)。
- Q7外部精度評価をうけるために会員になる必要がありますか?
- A7
- 外部精度評価に参加するために、会員になる必要はありません。
- Q8外部精度評価の結果は、どのように施設に知らされますか?
- A8
- 参加施設に個別の評価結果をお知らせします。各施設の評価結果は厳重に管理されます。
- 全体の精度評価結果は、年度末に報告書として発行されます。各施設の評価結果の匿名性は保たれます。
- Q9精度管理をすると染色性はよくなるのですか?
- A9
- 第一回目の検討(左図)では、コントロールのように陽性となるべき検体が、施設染色では陰性(左下)でした。
- 推奨方法を確認することにより、第二回目の検討(右図)では、コントロールと同様、陽性の染色結果が得られ、改善がみられています。
- Q10外部精度評価をうけるとどのような利点がありますか?
- A10
- 本機構の外部精度管理に参加すると参加証が発行されます。これは、病院機能評価の認定に必要な精度管理が行われているとして位置づけられます。
さらに、適正に染色および判定が行われていると評価された施設には、本機構から認定証が発行されます。
- 本機構の外部精度管理に参加すると参加証が発行されます。これは、病院機能評価の認定に必要な精度管理が行われているとして位置づけられます。
- Q11本機構の支援を受けたい場合はどうすればよいですか?
- A11
- 本機構事務局にお問い合わせください。

